top of page
IMPLANTOLOGIA
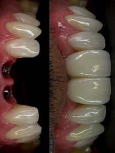
Recupera la funcionalidad y estética de tu sonrisa con nuestros implantes dentales.
Los implantes dentales son la solución más avanzada y duradera para reemplazar dientes perdidos o dañados.
En nuestra clínica dental, contamos con un equipo de especialistas altamente cualificados que te guiarán en cada paso del proceso, desde la evaluación inicial hasta la colocación de los implantes y la restauración final. Con tecnología de vanguardia y materiales de alta calidad, te garantizamos resultados impecables que mejorarán tu calidad de vida y te devolverán la confianza en tu sonrisa.


bottom of page







